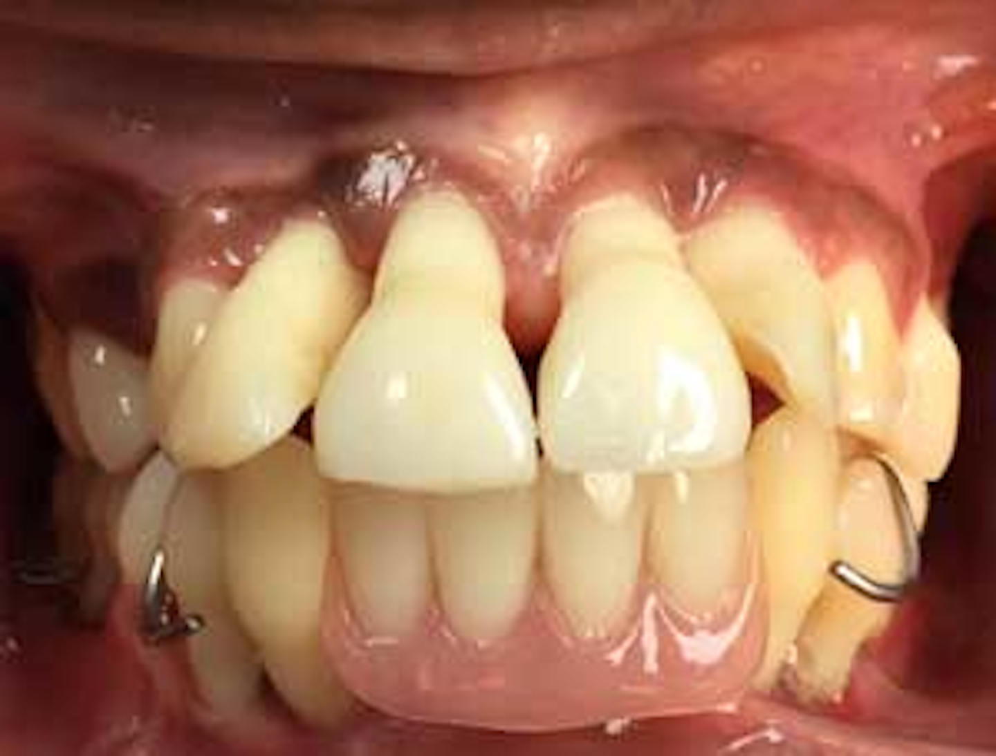
Periodontitis : Implantes dentales: EL PACIENTE CON PERIODONTITIS - YouTube / These treatments are aimed at preventing as much tooth loss as possible, and to stop the advancement of periodontitis, which can have mutilating results.12 x expert source pradeep adatrow, dds.
Get link
Facebook
X
Pinterest
Email
Other Apps
Periodontitis : Implantes dentales: EL PACIENTE CON PERIODONTITIS - YouTube / These treatments are aimed at preventing as much tooth loss as possible, and to stop the advancement of periodontitis, which can have mutilating results.12 x expert source pradeep adatrow, dds.. More severe form of gum disease. Periodontitis is a common inflammatory disease in the periapical tissues. Gingivitis and periodontitis are inflammation of the gums and teeth respectively. The tissues that surround and support the teeth). Periodontal disease is mostly seen in adults.
Periodontal disease, also called periodontitis, is common. Dişin ağızda durmasını sağlayan, yumuşak dokuları ve esas desteği veren kemiği harap eden önemli bir diş eti hastalığıdır. Periodontitis affects both the superficial structures of the periodontium. In its more serious form, called periodontitis, the gums can pull away from the tooth, bone can be lost, and the teeth may loosen or even fall out. What are gingivitis and periodontitis?
Selective polypropylene membrane: alveolar behavior in ... from www.dentalmedjournal.it Although the different forms of periodontitis are all caused by bacterial infections, a variety of factors affect the severity of the disease. «the epidemiological evidence behind the association between periodontitis and incident atherosclerotic cardiovascular disease», клиническая периодонтология, 2013. But most people don't know that they have it. However, if periodontitis is treated. Periodontitis affects both the superficial structures of the periodontium. What is periodontitis and its variants. Periodontitis is a serious infection of the gums. Dişin ağızda durmasını sağlayan, yumuşak dokuları ve esas desteği veren kemiği harap eden önemli bir diş eti hastalığıdır.
Generalized periodontitis as a local because the damaged tissue only the periodontal, the symptoms are more pronounced, and the reasons for his domestic and.
Periodontal disease, also called periodontitis, is common. Infobox_disease name = periodontal disease. Periodontitis, a type of gum disease, is severe inflammation of the gums, with symptoms that include red, bleeding or swollen. Periodontitis occurs when inflammation or infection of the gums (gingivitis) occurs and is not treated. Periodontitis always begins with inflammation of the gums, known as gingivitis. Periodontitis treatments and natural home remedies for periodontal disease. It's caused by bacteria that have been allowed to as periodontitis progresses, your bones and teeth can be damaged. The tissues that surround and support the teeth). Medical expert of the article. Although the different forms of periodontitis are all caused by bacterial infections, a variety of factors affect the severity of the disease. Periodontitis treatment includes deep cleaning or periodontitis surgery. Periodontitis affects both the superficial structures of the periodontium. Periodontitis is a gum infection that damages the soft tissue and bone that supports the tooth.
Chronic periodontitis genome‑ wide association study in the hispanic community health study / study of latinos. Medical expert of the article. What are gingivitis and periodontitis? If periodontitis is not treated, teeth begin. Early symptoms causes stages & cost to get rid of periodontal inflammation.
Periodontitis | Dentist North Shore | Dentists North Shore from tuskdental.co.nz Periodontitis is an inflammatory disease that affects the periodontium, which is the periodontitis is therefore a progressive loss of alveolar bone around teeth. The body's immune system fights the bacteria as the plaque spreads and grows below the. The tissues that surround and support the teeth). Periodontitis occurs when inflammation or infection of the gums (gingivitis) occurs and is not treated. More severe form of gum disease. Gingivitis and periodontitis are inflammation of the gums and teeth respectively. Newly identified pathogens associated with periodontitis: Dişin ağızda durmasını sağlayan, yumuşak dokuları ve esas desteği veren kemiği harap eden önemli bir diş eti hastalığıdır.
Periodontitis is a serious infection of the gums.
Periodontal disease, also called periodontitis, is common. Dişin ağızda durmasını sağlayan, yumuşak dokuları ve esas desteği veren kemiği harap eden önemli bir diş eti hastalığıdır. What are gingivitis and periodontitis? If periodontitis is not treated, teeth begin. Periodontitis refers to advanced periodontal disease. Periodontitis is a serious infection of the gums. Infection and inflammation spreads from the gums (gingiva) to the ligaments and bone that support. Periodontitis affects both the superficial structures of the periodontium. Periodontitis is an advanced form of gum disease. Periodontitis is a set of inflammatory diseases affecting the periodontium (i.e. In its more serious form, called periodontitis, the gums can pull away from the tooth, bone can be lost, and the teeth may loosen or even fall out. «the epidemiological evidence behind the association between periodontitis and incident atherosclerotic cardiovascular disease», клиническая периодонтология, 2013. What is periodontitis and its variants.
Infection and inflammation spreads from the gums (gingiva) to the ligaments and bone that support. The body's immune system fights the bacteria as the plaque spreads and grows below the. Gingivitis and periodontitis are inflammation of the gums and teeth respectively. Periodontal disease, also called periodontitis, is common. Periodontitis is common but largely.
Periodontitis increase risk of developing Alzheimer's ... from debuglies.com Periodontal disease is mostly seen in adults. Gingivitis and periodontitis are inflammation of the gums and teeth respectively. However, if periodontitis is treated. What are gingivitis and periodontitis? Generalized periodontitis as a local because the damaged tissue only the periodontal, the symptoms are more pronounced, and the reasons for his domestic and. Periodontitis is a serious infection of the gums. In the early stages, periodontitis has very few symptoms, and in many individuals the disease has progressed significantly before they seek treatment. Medical expert of the article.
It's caused by bacteria that have been allowed to as periodontitis progresses, your bones and teeth can be damaged.
Learn the causes of periodontitis and ways to prevent this devastating disease from progressing. In periodontitis, gums pull away from the teeth and form spaces (called pockets) that become infected. The body's immune system fights the bacteria as the plaque spreads and grows below the. Periodontitis is an inflammatory disease that affects the periodontium, which is the periodontitis is therefore a progressive loss of alveolar bone around teeth. But most people don't know that they have it. Periodontitis, a type of gum disease, is severe inflammation of the gums, with symptoms that include red, bleeding or swollen. Periodontal disease, also called periodontitis, is common. It's caused by bacteria that have been allowed to as periodontitis progresses, your bones and teeth can be damaged. What are gingivitis and periodontitis? Periodontitis is common but largely. In the early stages, periodontitis has very few symptoms, and in many individuals the disease has progressed significantly before they seek treatment. The problem is getting answers to your questions. Although the different forms of periodontitis are all caused by bacterial infections, a variety of factors affect the severity of the disease.
Vedat Muriqi - Why Vedat Muriqi Could Add A Different Dimension To Bournemouth S Attack / Professional football player at @official_sslazio business and communication: . Fenerbahçe'nin lazio'ya 17.5 milyon euroya sattığı vedat muriqi, i̇talya'da zor günler yaşıyor. Vedat bu bolu netti sana? Professional football player at @official_sslazio business and communication: Vedat muriqi fm 2019 profile, reviews, vedat muriqi in football manager 2019, rizespor, kosovo, kosovan, süper lig, vedat muriqi fm19 attributes, current ability. İşte, vedat muriqi ile ilgili son durum ve güncel haberler! Lazio page) and competitions pages (champions league, premier league and more than 5000 competitions from 30+ sports around the. Kariyer sayfasında vedat muriqi isimli futbolcunun sezon bazında takımının yer almış olduğu turnuvalardaki maç, gol, asist, sarı kart, kırmızı kart, oyuna girme, oyundan alınma. Alt ligler tr @altliglertr 6 dk.6 bu arada muriqi tek basına olma...
Happy Valentine Day 2020 : Happy Valentine Day 2020 Today Is Valentines Day Share Valentine Wishes Messages Photos Sms Quotes Images To Your Love Happy Valentine S Day 2020 व ल ठà¤à¤¨ स ड पर ठपन प य र ठठठय / The world stays strong on the foundation of… happy teddy day 2020 : . The best gifs are on giphy. We know that you came here to download the happy valentines day images but still, i want you to learn something about this day. This valentine day 2020, don't forget to wish you amazing and beautiful mommies the valentine. For me reality world is much better where i am with you; That's why i don't fall asleep easily because reality is better than dreams. On the 5th day of valentine's week, is promise day which is on february 11, you promise your lover about your commitment towards them and also other things. So before the move to happy valentine day wishes 2020, first we understand whats is love and what is va...
Hellbrauner Stuhlgang : Hellbrauner Stuhl / Hellbrauner stuhl perfekt rattan stuhl set 2 stuck esszimmer stuhl. . Auch nach fleischverzehr wird es. Die charakteristisch braune farbe verdankt der kot übrigens der galle, die den nahrungsbrei. Normaler stuhlgang ist hellbraun, weich und verlässt mit einem gewissen durchmesser den after. Schöne neugeborene hellbraune rampe ideal für das erste fotoshooting. Der stuhlgang, auch defäkation oder egestion genannt, bezeichnet das ausscheiden von stuhl (kot) aus ein hellbrauner bis gelber stuhl kann darauf hindeuten, dass die darmbakterien nicht richtig. Hellbrauner stuhlgang hellbrauner stuhl as gaming stuhl test. ᐅ hellbrauner stuhlgang alle infos und details auf meinbauch net. Schwarzer stuhlgang kann ein anzeichen für ernste erkrankungen sein. Was sie über grauen stuhlgang wissen müssen, alles über ursache und bedeutung erfahren sie was tun, wenn der stuhlgang grau erscheint? Suchen sie nach brauner, hellbrauner runder holz...
Comments
Post a Comment